03/11/2020
Marzenie o pięknym, równym i śnieżnobiałym uśmiechu towarzyszy wielu osobom. W dzisiejszych czasach, dzięki dynamicznemu rozwojowi stomatologii estetycznej, spełnienie tego pragnienia stało się bardziej dostępne niż kiedykolwiek wcześniej. Jednym z najpopularniejszych rozwiązań, które podbiło serca zarówno gwiazd, jak i „zwykłych” ludzi, są licówki. Te cienkie nakładki na zęby obiecują natychmiastową metamorfozę, jednak zanim zdecydujesz się na ten zabieg, warto poznać wszystkie jego aspekty – zarówno te pozytywne, jak i te, które mogą budzić wątpliwości. Ten artykuł pomoże Ci zrozumieć, czym są licówki, jakie niosą ze sobą korzyści, ale przede wszystkim – dlaczego warto dokładnie rozważyć ich założenie i na co zwrócić szczególną uwagę, aby uniknąć rozczarowań.

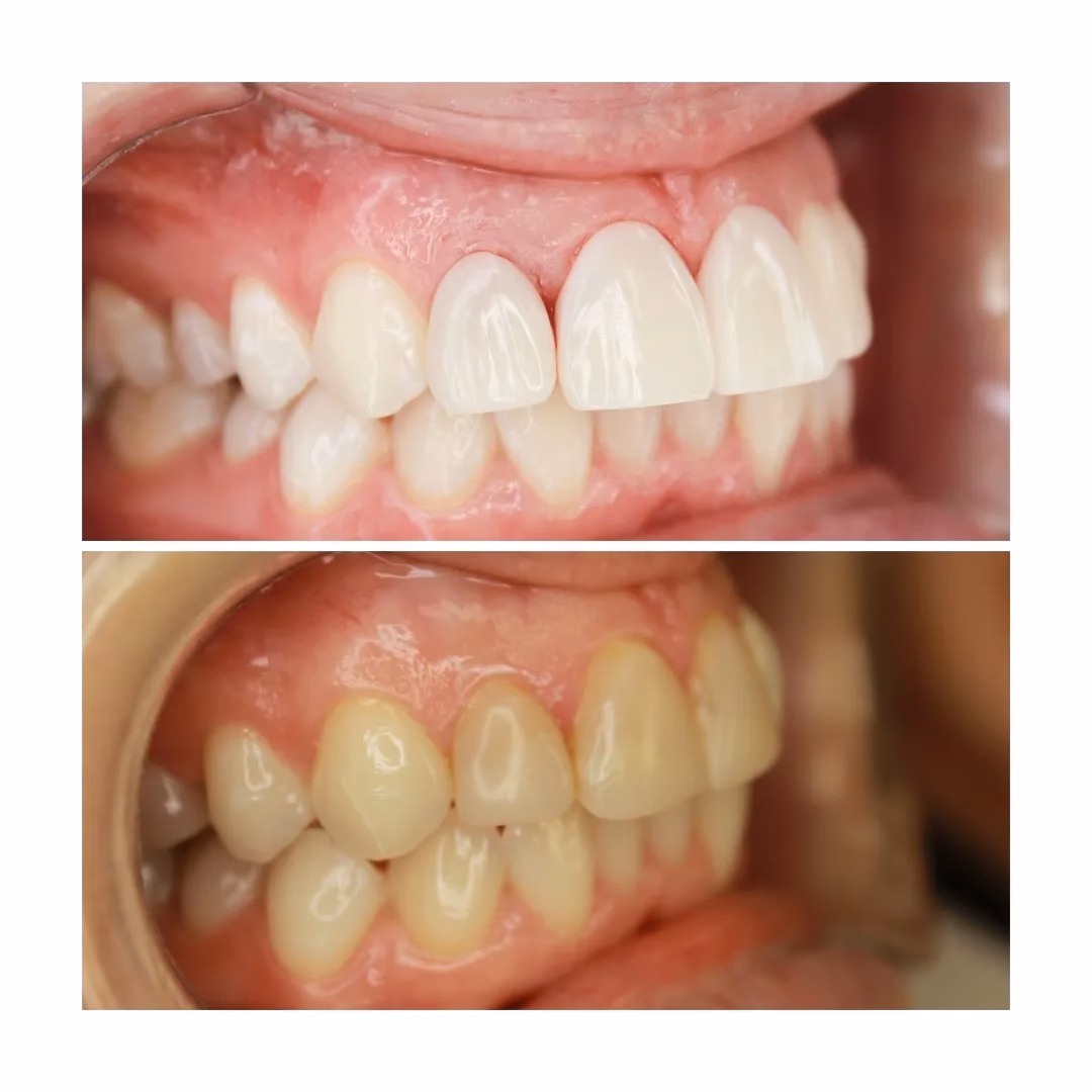
Czym Są Licówki i Jak Mogą Zmienić Twój Uśmiech?
Licówki to specjalistyczne, bardzo cienkie nakładki, które przykleja się do przedniej powierzchni zębów w celu poprawy ich wyglądu. Ich głównym celem jest stworzenie estetycznego, równego i harmonijnego uśmiechu. Mogą skorygować wiele mankamentów, takich jak:
- przebarwienia, których nie da się usunąć wybielaniem,
- drobne ubytki i pęknięcia szkliwa,
- nierówności w kształcie lub rozmiarze zębów,
- niewielkie diastemy (szpary między zębami),
- nieprawidłowe ustawienie zębów (w przypadku niewielkich wad).
W efekcie, zęby zyskują pożądany kolor, kształt i proporcje, co znacząco wpływa na ogólną estetykę twarzy i pewność siebie. Licówki są często wybierane jako szybkie i efektywne rozwiązanie dla osób pragnących spektakularnej zmiany w wyglądzie swojego uśmiechu.
Rodzaje Licówek: Kompozytowe czy Porcelanowe?
Na rynku dostępne są dwa główne rodzaje licówek, które różnią się materiałem, sposobem wykonania, trwałością i ceną:
Licówki Kompozytowe
Wykonane są ze światłoutwardzalnego materiału kompozytowego – tego samego, który stosuje się do wypełnień stomatologicznych, ale o wyższej estetyce. Są one tworzone bezpośrednio na zębach pacjenta, warstwa po warstwie, podczas jednej wizyty w gabinecie stomatologicznym. Ich zaletą jest niższa cena i mniej inwazyjna procedura, często niewymagająca szlifowania zębów lub tylko minimalnego. Są też łatwiejsze do naprawy w przypadku uszkodzenia.
Licówki Porcelanowe
To cienkie płatki wykonane z wysokiej jakości ceramiki lub porcelany. Są one przygotowywane indywidualnie dla każdego pacjenta w laboratorium protetycznym, na podstawie precyzyjnych wycisków. Ich założenie zazwyczaj wymaga dwóch wizyt u stomatologa. Licówki porcelanowe charakteryzują się wyjątkową estetyką, naturalnością wyglądu, trwałością i odpornością na przebarwienia. Są jednak droższe i ich założenie często wiąże się z koniecznością szlifowania szkliwa.
Licówki: Zalety – Uśmiech, Który Zachwyca
Niewątpliwie największą zaletą licówek jest ich wymiar estetyczny. Dzięki nim można osiągnąć spektakularną poprawę wyglądu uśmiechu w stosunkowo krótkim czasie. Licówki są w stanie:
- rozwiązać problem trwałych przebarwień, które nie poddają się wybielaniu,
- korygować nierówności, ukruszenia czy pęknięcia na powierzchni zębów,
- zmienić kształt i rozmiar zębów, dopasowując je do proporcji twarzy,
- zlikwidować nieestetyczne przestrzenie między zębami (diastemy),
- poprawić ogólną harmonię i estetykę uśmiechu.
Dla wielu osób piękny uśmiech to klucz do zwiększenia pewności siebie, lepszego samopoczucia i swobodniejszego funkcjonowania w życiu społecznym i zawodowym. Licówki mogą być więc powodem do wyjścia z kompleksów i pełnej akceptacji własnego ja.
Ciemna Strona Licówek: Dlaczego Warto Się Zastanowić?
Choć licówki kuszą obietnicą idealnego uśmiechu, istnieją istotne wady i ograniczenia, które należy wziąć pod uwagę przed podjęciem decyzji o zabiegu. Zrozumienie tych aspektów jest kluczowe dla świadomego wyboru.

Nieodwracalne Przygotowanie Zębów
Jedną z najważniejszych wad licówek, szczególnie porcelanowych, jest konieczność spiłowania szkliwa własnych zębów. Aby licówka mogła zostać prawidłowo osadzona i wyglądała naturalnie, zwykle trzeba usunąć około 0.5 mm warstwy szkliwa. W praktyce oznacza to, że jeśli raz zdecydujesz się na licówki, będziesz musiał je nosić do końca życia. Spiłowane szkliwo nie ma szans odrosnąć, a odsłonięta powierzchnia zęba staje się bardziej wrażliwa i podatna na czynniki zewnętrzne, co może prowadzić do nieprzyjemnych odczuć lub bólu w przypadku usunięcia licówek.
Przeciwwskazania i Warunki Wstępne
Licówki nie są rozwiązaniem dla każdego. Przed ich założeniem, stomatolog musi dokładnie ocenić stan uzębienia pacjenta. Istnieją pewne warunki, które dyskwalifikują pacjenta lub wymagają wcześniejszego leczenia:
- Krzywe zęby: Jeśli zęby są znacznie krzywe, licówki nie będą w stanie skorygować tej wady. W takiej sytuacji konieczne jest najpierw leczenie ortodontyczne, które doprowadzi zęby do pożądanego położenia. Dopiero po zakończeniu leczenia ortodontycznego można rozważyć założenie licówek.
- Bruksizm (zgrzytanie zębami): Pacjenci cierpiący na bruksizm, czyli nawykowe zgrzytanie lub zaciskanie zębów, są narażeni na uszkodzenie licówek. Siły działające podczas zgrzytania mogą prowadzić do pęknięć, odprysków, a nawet całkowitego odpadnięcia licówek. Bruksizm jest więc przeciwwskazaniem do zabiegu, dopóki nie zostanie opanowany, np. poprzez stosowanie szyny relaksacyjnej.
- Głęboki zgryz: Osoby z pogłębionym zgryzem również mogą mieć problemy z trwałością licówek, ponieważ zgryzanie może powodować nadmierne obciążenie i uszkodzenia. W niektórych przypadkach konieczne może być wcześniejsze leczenie ortodontyczne.
- Zły stan higieny jamy ustnej lub choroby dziąseł: Aktywne stany zapalne dziąseł, próchnica czy niewystarczająca higiena są bezwzględnymi przeciwwskazaniami. Przed założeniem licówek cała jama ustna musi być wyleczona i zdrowa.
Trwałość i Konieczność Wymiany
Licówki nie są rozwiązaniem na zawsze. Z czasem, podobnie jak naturalne zęby, ulegają zużyciu, ścieraniu, a także mogą ulec przebarwieniom (szczególnie kompozytowe) lub uszkodzeniom mechanicznym. Oznacza to, że po pewnym okresie użytkowania konieczna będzie ich wymiana, co wiąże się z kolejnymi kosztami i wizytami u stomatologa.
Ryzyko Uszkodzeń Mechanicznych
Mimo swojej trwałości, licówki nie są niezniszczalne. Obgryzanie paznokci, otwieranie butelek zębami, rozgryzanie twardych produktów (np. orzechów, pestek) może doprowadzić do ich pęknięcia, ukruszenia lub odpadnięcia. Wymaga to ostrożności i zmiany pewnych nawyków.
Czy Licówki Niszczą Naturalne Zęby? Rozwiewamy Wątpliwości.
To pytanie pojawia się niezwykle często i budzi wiele obaw. Ważne jest, aby zrozumieć, że same licówki, po prawidłowym założeniu, nie niszczą zębów. Nie powodują próchnicy ani innych chorób. Problem leży w procesie przygotowania zęba.
Jak wspomniano, w przypadku licówek porcelanowych konieczne jest spiłowanie cienkiej warstwy szkliwa. To jest właśnie nieodwracalna zmiana. Oznacza to, że naturalne zęby pod licówkami nie będą już w takim samym stanie jak przed zabiegiem. Jeśli licówka zostanie usunięta, ząb bez ochronnej warstwy szkliwa będzie bardziej wrażliwy na temperaturę, bodźce chemiczne i uszkodzenia. Wymagać będzie stałej ochrony w postaci nowej licówki, korony lub innego rodzaju odbudowy.

Jeśli jednak licówki są prawidłowo założone, a pacjent dba o higienę jamy ustnej i regularnie odwiedza stomatologa, zęby pod nimi powinny pozostać zdrowe. Kluczowe jest szczelne przyleganie licówki do zęba, aby zapobiec przedostawaniu się bakterii i resztek pokarmowych pod nią, co mogłoby prowadzić do rozwoju próchnicy.
Ile Kosztują Licówki? Inwestycja w Piękny Uśmiech.
Koszt licówek jest jednym z kluczowych czynników, które należy wziąć pod uwagę. Nie jest to zabieg tani, a cena zależy od wielu zmiennych:
- Rodzaj materiału: Licówki porcelanowe są znacznie droższe niż kompozytowe.
- Liczba zębów: Oczywiste jest, że im więcej zębów wymaga licówek, tym wyższy będzie całkowity koszt.
- Doświadczenie i umiejętności stomatologa/protetyka: Specjaliści z dużym doświadczeniem i renomą mogą mieć wyższe stawki.
- Lokalizacja gabinetu: Ceny mogą się różnić w zależności od regionu i miasta.
- Konieczność dodatkowych zabiegów: Jeśli przed założeniem licówek konieczne jest leczenie kanałowe, ortodontyczne, wybielanie (pozostałych zębów) czy leczenie chorób dziąseł, koszty te zostaną doliczone.
Poniżej przedstawiamy orientacyjne ceny:
Średnie Ceny Licówek (za jeden ząb)
| Rodzaj Licówki | Orientacyjny Koszt (za 1 ząb) |
|---|---|
| Licówki Kompozytowe | Od 600 do 1500 zł |
| Licówki Porcelanowe | Od 1500 do 3000 zł |
Warto pamiętać, że podane ceny są jedynie orientacyjne. Ostateczny koszt zawsze ustalany jest indywidualnie podczas konsultacji ze stomatologiem.
Jak Długo Wytrzymują Licówki? Czynniki Wpływające na Trwałość.
Trwałość licówek jest zmienna i zależy od wielu czynników. Nie jest to rozwiązanie wieczne, ale przy odpowiedniej pielęgnacji i sprzyjających warunkach mogą służyć przez wiele lat.
Orientacyjna Trwałość Licówek
- Licówki kompozytowe: Zazwyczaj wytrzymują od 2 do 5-7 lat. Są mniej odporne na ścieranie i przebarwienia niż porcelanowe.
- Licówki porcelanowe: Mogą służyć od 10 do nawet 20 lat przy odpowiedniej pielęgnacji i braku komplikacji. Są bardzo odporne na zużycie i przebarwienia.
Czynniki Wpływające na Długość Życia Licówek:
- Materiał: Jak wspomniano, porcelana jest trwalsza niż kompozyt.
- Higiena jamy ustnej: Kluczowa dla zachowania zdrowia zębów pod licówkami i wokół nich. Brak odpowiedniej higieny może prowadzić do próchnicy i chorób dziąseł, co skróci żywotność licówek.
- Nawyki pacjenta: Obgryzanie paznokci, ołówków, gryzienie twardych przedmiotów, otwieranie zębami butelek – to wszystko może uszkodzić licówki.
- Dieta: Nadmierne spożywanie produktów barwiących (kawa, herbata, czerwone wino, kurkuma) może przyspieszyć przebarwienia, zwłaszcza w przypadku licówek kompozytowych.
- Regularne wizyty kontrolne: Regularne przeglądy stomatologiczne i profesjonalne higienizacje (scaling, piaskowanie) są niezbędne do wczesnego wykrywania problemów i utrzymania licówek w dobrym stanie.
- Stan zgryzu: Nieleczony bruksizm lub wady zgryzu mogą znacząco skrócić trwałość licówek.
Jak Zwiększyć Trwałość Licówek? Praktyczne Porady.
Aby cieszyć się pięknym uśmiechem z licówkami przez jak najdłuższy czas, warto przestrzegać kilku prostych zasad:
- Perfekcyjna higiena jamy ustnej: Myj zęby przynajmniej dwa razy dziennie, używaj nici dentystycznej lub irygatora do czyszczenia przestrzeni międzyzębowych. Pamiętaj o delikatnym szczotkowaniu licówek.
- Regularne wizyty kontrolne: Odwiedzaj stomatologa co najmniej raz na sześć miesięcy. Pozwoli to na wczesne wykrycie ewentualnych problemów i profesjonalne czyszczenie.
- Unikaj szkodliwych nawyków: Zrezygnuj z obgryzania paznokci, gryzienia twardych przedmiotów, lodu czy otwierania zębami opakowań.
- Ogranicz produkty barwiące: Choć licówki porcelanowe są odporne na przebarwienia, warto ograniczyć spożycie kawy, herbaty, czerwonego wina czy kurkumy, zwłaszcza w przypadku licówek kompozytowych, które są bardziej podatne na odbarwienia.
- Stosuj szynę relaksacyjną: Jeśli cierpisz na bruksizm, bezwzględnie używaj specjalnej szyny relaksacyjnej na noc, aby chronić licówki przed nadmiernymi siłami zgryzowymi.
- Ochraniacze sportowe: Jeśli uprawiasz sporty kontaktowe, zainwestuj w indywidualnie dopasowane ochraniacze na zęby, aby chronić licówki przed urazami.
- Szybka reakcja na problemy: W przypadku zauważenia jakichkolwiek zmian w kształcie, kolorze licówek, odczuwania dyskomfortu lub bólu, natychmiast skonsultuj się ze stomatologiem. Szybka interwencja może zapobiec dalszym uszkodzeniom.
Tabela Porównawcza: Licówki Kompozytowe vs. Porcelanowe
| Cecha | Licówki Kompozytowe | Licówki Porcelanowe |
|---|---|---|
| Materiał | Światłoutwardzalny kompozyt | Ceramika, porcelana (szkliwo, zębina, tlenek glinu/cyrkonu) |
| Koszt (za 1 ząb) | Niższy (ok. 600-1500 zł) | Wyższy (ok. 1500-3000 zł) |
| Trwałość | 2-7 lat | 10-20 lat |
| Estetyka | Dobra, ale z czasem mogą tracić blask | Bardzo wysoka, naturalna, odporne na przebarwienia |
| Inwazyjność | Niska (minimalne lub brak szlifowania) | Wyższa (zazwyczaj wymaga szlifowania szkliwa) |
| Czas wykonania | 1 wizyta (bezpośrednio w gabinecie) | 2 wizyty (wymagają pracy laboratoryjnej) |
| Możliwość naprawy | Tak, łatwiejsza | Trudniejsza, często wymaga wymiany |
Najczęściej Zadawane Pytania (FAQ)
Czy licówki bolą podczas zakładania?
Sam zabieg zakładania licówek zazwyczaj jest bezbolesny, ponieważ wykonuje się go w znieczuleniu miejscowym. Po zabiegu może wystąpić przejściowa wrażliwość zębów, zwłaszcza jeśli były one szlifowane, ale zwykle ustępuje ona w ciągu kilku dni.
Czy można zdjąć licówki, jeśli się rozmyślę?
Licówki porcelanowe, ze względu na konieczność spiłowania szkliwa, są traktowane jako rozwiązanie trwałe i nieodwracalne. Po ich zdjęciu zęby nie wrócą do pierwotnego stanu i będą wymagały innej odbudowy (np. nowych licówek, koron). W przypadku licówek kompozytowych, które często nie wymagają szlifowania, ich usunięcie jest mniej inwazyjne, ale nadal zęby mogą być delikatniejsze.

Czy licówki zmieniają się z wiekiem?
Same licówki nie zmieniają się z wiekiem w sensie wzrostu czy kurczenia się. Jednak dziąsła z biegiem lat mogą się cofnąć, odsłaniając krawędzie licówek lub korzenie zębów, co może wpłynąć na estetykę i wymagać interwencji stomatologicznej.
Czy licówki żółkną lub zmieniają kolor?
Licówki porcelanowe są bardzo odporne na przebarwienia i nie żółkną. Ich kolor jest stabilny przez cały okres użytkowania. Licówki kompozytowe są bardziej podatne na przebarwienia, zwłaszcza pod wpływem kawy, herbaty, czerwonego wina czy nikotyny. Wymagają regularnego polerowania, aby utrzymać swój pierwotny kolor.
Czy licówki wymagają specjalnej diety?
Nie ma specjalnej diety wymaganej przy licówkach, ale zaleca się unikanie ekstremalnie twardych pokarmów (np. orzechy w skorupkach, twarde cukierki) oraz nawyków, które mogą je uszkodzić (np. gryzienie lodu). W przypadku licówek kompozytowych warto ograniczyć spożycie produktów silnie barwiących.
Podsumowanie i Klucz do Wyboru
Decyzja o założeniu licówek to poważna inwestycja – zarówno finansowa, jak i w zdrowie oraz wygląd Twojego uśmiechu. Choć licówki oferują spektakularne efekty estetyczne, niezwykle ważne jest, aby być świadomym ich wad, przeciwwskazań oraz konieczności długoterminowej pielęgnacji. Pamiętaj, że spiłowanie szkliwa jest procesem nieodwracalnym, co oznacza, że raz założone licówki staną się częścią Twojego życia.
Kluczem do podjęcia właściwej decyzji jest zawsze indywidualna konsultacja z doświadczonym stomatologiem. Lekarz oceni stan Twojego uzębienia, omówi dostępne opcje (w tym alternatywy dla licówek), przedstawi realne oczekiwania co do efektów i trwałości, a także poinformuje o wszelkich potencjalnych ryzykach. Nie bój się zadawać pytań i wyrażać swoich wątpliwości. Tylko w ten sposób dokonasz świadomego wyboru, który przyniesie Ci satysfakcję i piękny uśmiech na lata.
Zainteresował Cię artykuł Licówki: Czy Warto Ryzykować Piękny Uśmiech?? Zajrzyj też do kategorii Ceramika, znajdziesz tam więcej podobnych treści!
